(Adnkronos) – Uno dei più temibili nemici del piede è una grave e rara complicanza del diabete, un capitolo del cosiddetto piede diabetico, con un nome complesso: la neuro-osteoartropatia di Charcot. Il Policlinico universitario Gemelli Irccs di Roma è una delle poche strutture italiane dove è possibile gestirla da un punto di vista internistico e diabetologico ed effettuare i complicati interventi di salvataggio ortopedico di questi piedi deformati e disabilitati dalla malattia. Sono molteplici gli interventi eseguiti al Gemelli ogni anno per restituire la possibilità di camminare, scongiurando il rischio amputazione, a diverse persone con diabete. Se intercettata precocemente, la malattia non progredisce verso la fase cronica, quella appunto delle deformità articolari. Ma per questo è necessario un occhio esperto, quello del diabetologo.
“Condizione predisponente del piede di Charcot – spiega Dario Pitocco, associato di Endocrinologia all’università Cattolica del Sacro Cuore Campus di Roma e direttore della Uosa di Diabetologia della Fondazione Policlinico Gemelli – è la neuropatia diabetica, che comporta un grave quadro di disregolazione infiammatoria, concentrato a livello del piede. Ma questa è solo una parte della storia. La neuropatia è importante, ma non basta da sola e le vere cause del piede di Charcot di fatto non sono ancora note. Potrebbe giocare un ruolo anche una predisposizione genetica sulla modulazione del metabolismo dell’osso”. A essere affetto da neuropatia è almeno il 30-40% delle persone con diabete; il piede di Charcot compare solo nello 0,05% dei casi. Parliamo dunque di una malattia rara.
“Questi pazienti – prosegue Pitocco, co-autore anche di una Consensus dell’American Diabetes Association sull’argomento – hanno una grave disregolazione dei processi infiammatori, anche a seguito di uno stimolo banale come il sovraccarico sul piede. Molto spesso sono colpite persone che passano molto tempo in piedi (camerieri, cuochi) o che utilizzano molto il piede come gli autisti. Il fatto che la neuropatia attutisca il dolore, che in genere è un importante campanello d’allarme, fa sì che la diagnosi sia tardiva. Nelle fasi iniziali (acute) il piede appare rosso, gonfio, caldo, ma non è presente dolore. Un occhio non esperto può scambiare il quadro per una vasculite, per un trauma o per gotta. Oltre alla visita specialistica diabetologica, che permette di porre il sospetto diagnostico, un esame strumentale importante nella fase acuta è la risonanza magnetica, che evidenzia edema della spongiosa dell’osso. Una semplice radiografia nella fase iniziale, invece, non consente di fare diagnosi. In questa fase l’approccio terapeutico più efficace è il riposo; il paziente non deve caricare su quel piede (vengono utilizzati speciali tutori per evitare il carico)”. Se questa fase diagnostica viene mancata, la malattia progredisce anche rapidamente (pochi mesi) verso la fase cronica, quella delle complicanze che richiedono l’intervento dell’ortopedico. E non solo. La gestione del piede di Charcot richiede un’équipe multidisciplinare, perché oltre al diabetologo e all’ortopedico spesso è necessario l’intervento del chirurgo vascolare, dell’infettivologo, del chirurgo plastico, del dermatologo, del fisioterapista e di tanti altri specialisti.
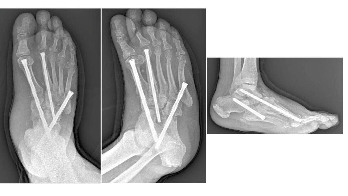
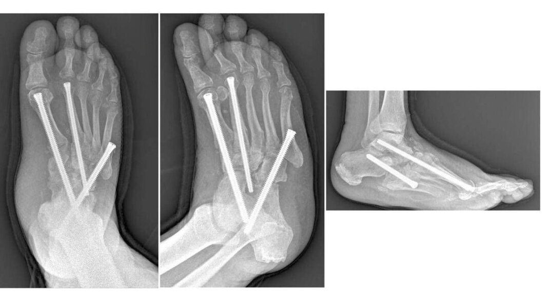
“Nel piede di Charcot – descrive Carlo Perisano, ricercatore in Ortopedia e Traumatologia all’università Cattolica Campus di Roma e dirigente medico presso la Uoc di Ortopedia e Traumatologia del Policlinico Gemelli – assistiamo a una progressiva alterazione dei tessuti molli, delle articolazioni e delle ossa del piede, che vanno incontro a un marcato riassorbimento e a molte microfratture che portano all’instaurarsi delle deformità. Il piede si deforma fino a diventare un ‘piede a dondolo’ (in inglese ‘rocker bottom foot deformity’), a causa della mal consolidazione dell’osso e a una stabilizzazione di quella deformità che determinano una serie di sequele”. Queste, in stadio avanzato, possono essere corrette solo da un complesso intervento, che di fatto diventa una chirurgia di salvataggio dell’arto.
“Sono interventi che mirano a correggere deformità estremamente complesse del piede e della caviglia – illustra Perisano – e che prevedono una serie di procedure chirurgiche (nell’ambito dello stesso intervento), quali osteotomie correttive e successive osteosintesi. Questo consente la ricostruzione di un asse del piede e della caviglia, per permettere al paziente di tornare a camminare (in genere entro un paio di mesi dall’intervento). I pazienti affetti da questa condizione infatti non riescono più a deambulare perché queste deformità comportano alterazioni dell’appoggio, che sottopongono alcune zone del piede, normalmente non deputate a sostenere il carico, ad una pressione eccessiva che a sua volta può portare ad ulcerazioni; queste, nei pazienti diabetici (che spesso sono anche vasculopatici), possono causare infezioni gravi e profonde, che a loro volta comportano un elevato rischio di amputazione”.
“Il piede di Charcot – commenta Giulio Maccauro, ordinario di Ortopedia alla Cattolica Campus di Roma e direttore della Uoc di Ortopedia e Traumatologia del Gemelli – è una condizione clinica estremamente invalidante. All’interno della nostra istituzione riusciamo a dare risposte, all’interno di un percorso multidisciplinare, a tutte le persone con piede diabetico, offrendo loro l’intera gamma di trattamenti ortopedici, da quelli convenzionali ortesici agli interventi chirurgici più avanzati”.
—
cronaca
webinfo@adnkronos.com (Web Info)


